
Aparatul Invizibil SPARK™

Cea mai nouă tehnologie de îndreptare a dinților cu gutiere personalizate invizibile Spark Clear Aligners
Tipuri de Aparate Fixe
Aparatele fixe sunt acele dispozitive care se aplică pe dinţi de către medicul specialist în Ortodonție și Ortopedie Dento-Facială pentru a trata anomaliile dento-maxilare şi pot fi înlăturate tot de către acesta, la finalul tratamentului ortodontic.
Aparatele dentare au o acțiune complexă: ele nu doar îndreaptă dinții strâmbi, dar și poziționează corect maxilarele pentru a avea ocluzia (mușcătura) funcțională, așadar, purtarea unui aparat ortodontic nu este doar pentru frumusețe, ci mai ales pentru sănătatea dinților, a gingiilor cu oasele alveolare și mai ales pentru sănătatea articulației temporo-mandibulare.
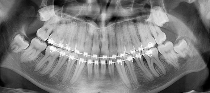
Aparatul fix metalic
Este cel mai des întâlnit tip de aparat, brackeții sunt fabricați din diverse aliaje metalice inoxidabile, așadar se văd cu ușurință. Cu toate acestea, aparatul fix metalic are o serie de avantaje demne de luat în considerare:
- durata de tratament mai scurtă
- brackeții sunt mai micuți si jenează mai puțin
- costurile sunt mai mici
- singurul dezavantaj al acestui tip de aparat este dat de aspectul estetic (brackeții sunt vizibili pe dinți)
Aparatul fix safir
Este apărut mai recent, acesta are brackeții dintr-un safir înalt prelucrat și șlefuit, ceea ce îl face să fie transparent, fiind cel mai fizionomic bracket de pe fața vestibulară a dinților.
- acest tip de aparat are o durată de tratament mai lungă față de cel metalic
- marele avantaj este acela de a fi foarte putin vizibil
- brackeții din safir se pot sparge mai ușor și au colțuri mai ascuțite, ceea ce creează un oarecare disconfort la început, în comparație cu aparatul simplu metalic.
Aparatele linguale
Sunt de mai multe feluri, în funcție de producători, dar în mare se ghidează după aceleași principii: STb sau Incognito.
- sunt cele mai estetice aparate, ele nu se văd absolut deloc, brackeții fiind poziționați pe partea din spate a dinților (fața dinspre limbă) a dinților
- datorită poziționării survine și marele dezavantaj al lor: jenează destul de mult limba și vorbirea in primele zile de purtare, apoi intervine obișnuința.
- un alt minus al acestor aparate ar fi igiena mai dificilă: brackeții sunt mai greu de văzut chiar și de către purtător și astfel mai greu de curățat.
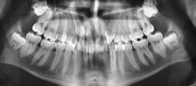
Disjunctorul
Este un aparat fix adițional, care este utilizat atunci când maxilarul este mult îngustat, rolul său fiind acela de a expansiona rapid arcada superioară pentru a face spațiu unor dinți sau pentru a corespunde cu arcada inferioară. Întotdeauna acest aparat este urmat de un aparat fix clasic care va continua alinierea dintilor in spatiul creat și definitivarea ocluziei corecte. Disjunctorul se cimentează pe molari si premolari, având partea activă reprezentată de un șurub median imediat sub bolta palatină.
Sunt recomandate cel mai adesea copiilor. Acestea sunt confecţionate din acrilat în culorile preferate ale pacientului, în laborator, după indicaţiile medicului ortodont.
În general, aparatele mobile sunt recomandate copiilor pentru:
- a dirija creşterea oaselor maxilare;
- crearea spațiului necesar îndreptării dinților înghesuiți;
- crearea și menținerea spațiului necesar erupției dinților permanenți;
- corectarea unor obiceiuri vicioase (sugerea degetului, sugerea buzei inferioare, interpunerea limbii între dinţi în timpul înghiţirii.);
- micşorarea riscului de fractură a dinților așezați prea anterior pe arcada superioară (cel mai frecvent)
Tipuri de Aparate Mobile
Aparatul mobil clasic
Este posibil ca după purtarea unor aparate mobile, în cazul în care anomalia a fost destul de severă, să fie necesar şi tratamentul cu aparat fix pentru alinierea perfectă a dinţilor şi pentru obţinerea unei “muşcături” ideale – cea care oferă stabilitate rezultatului tratamentului ortodontic.
Tratamentele efectuate în copilărie au următoarele avantaje:
- anomaliile sunt mai uşor de corectat datorită elasticităţii osoase,
- durata tratamentului este mai scurtă;
- costă mai puțin.
- nu mai necesită extracții dentare pentru alinierea completă a dinților;
- tratamentul cu aparate fixe este mai scurt, dacă au fost purtate corespunzător aparatele mobile
Aparatele funcţionale şi trainerele ortodontice
Atunci când copilul de 5-6 ani a deprins un obicei vicios (suge degetul / buza inferioară / limba), sau stă cu gura deschisă se produc unele modificări asupra oaselor maxilare şi asupra dinţilor, care se pot înrăutăţi cu timpul. Din acest motiv, perioada preşcolară, (sau uneori şi cea şcolară) este ideală pentru a corecta obiceiurile vicioase cu ajutorul aparatelor ortodontice, care prin simpla purtare împiedică apariţia efectelor nocive asupra oaselor şi dinţilor. În lipsa acestor efecte, şi sub acţiunea aparatelor funcţionale, sau a trainerelor, modificările produse de obiceiurile vicioase sunt tratate cu success.
Aparatul Invizibil SPARK
Gutierele transparente pentru aliniere reprezintă o modalitate nouă de tratament, pentru cerinţe estetice crescute. Acest tip de tratament este recomandat înghesuirilor uşoare şi medii. Materialele sintetice 100% compatibile cu organismul uman, pentru aceste gutiere, sunt selectate cu atenţie pentru fiecare pacient în parte. Se poartă câte un set de gutiere pentru o perioadă de trei săptămâni. La fiecare trei săptămâni, veţi avea o întâlnire cu ortodontul dvs. pentru a determina cât de bine funcţionează tratamentul. În acest moment se poate să primiţi gutiere noi, în funcţie de progresele înregistrate de corecţie. La fiecare trei săptămâni este o altă oportunitate de a vedea cât de departe aţi ajuns. Dinţii sunt corectaţi treptat, cu câte un set de gutiere la fiecare etapă.
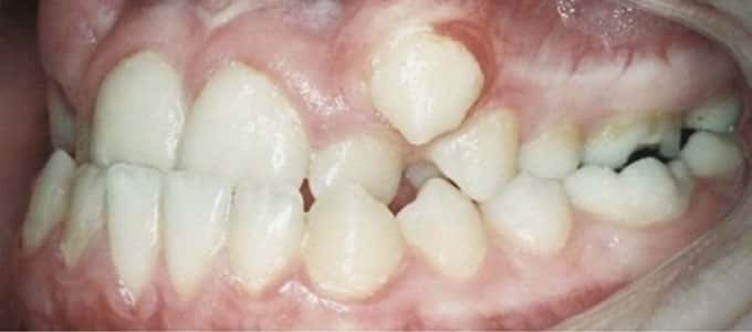
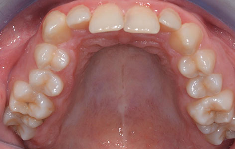
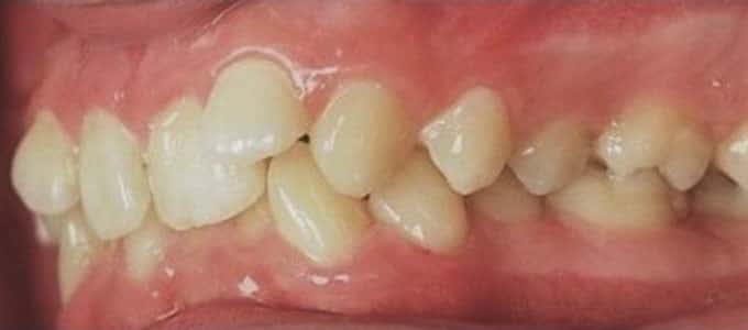
Portofoliu
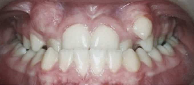
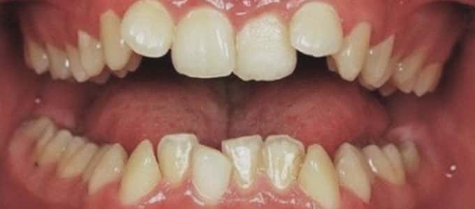
Un zâmbet frumos
Un zâmbet frumos este roada tratamentului ortodontic de succes dar pentru a se ajunge la acest rezultat sunt necesare mai multe etape care trebuie parcurse pas cu pas.
Tratamentul ortodontic este un proces biologic complex care include modificări ale oaselor maxilare, faciale și ale țesuturilor moi pe măsură ce dinții sunt mișcați în noile poziții.
Tratamentul ortodontic nu este o soluție rapidă. Acesta începe întotdeauna cu o examinare minuțioasă a dinților, a buzelor și a întregului aspect facial, sunt necesare radiografii si fotografii de diagnostic. Din aceste informații detaliate medicul ortodont dezvoltă un plan de tratament personalizat.

